You are using an outdated browser. Please upgrade your browser to improve your experience.
BoSTT

Bone and soft tissue tumours - case studies (BoSTT) is a mobile source of musculoskeletal tumour cases provided by experts at the Royal National Orthopaedic Hospital (RNOH) NHS Trust, Stanmore, Greater London, UK

Bone and soft tissue tumours - case studies (BoSTT) is a mobile source of musculoskeletal tumour cases provided by experts at the Royal National Orthopaedic Hospital (RNOH) NHS Trust, Stanmore, Greater London, UK

BoSTT

by Royal National Orthopaedic Hospital
BoSTT
BoSTT
BoSTT

What is it about?

Bone and soft tissue tumours - case studies (BoSTT) is a mobile source of musculoskeletal tumour cases provided by experts at the Royal National Orthopaedic Hospital (RNOH) NHS Trust, Stanmore, Greater London, UK.

BoSTT

App Details

Version
1.3.2
Rating
(2)
Size
7Mb
Genre
Medical Education
Last updated
December 4, 2019
Release date
August 3, 2015
More info

App Screenshots

BoSTT screenshot-0
BoSTT screenshot-1
BoSTT screenshot-2
BoSTT screenshot-3
BoSTT screenshot-4
BoSTT screenshot-5

App Store Description

Bone and soft tissue tumours - case studies (BoSTT) is a mobile source of musculoskeletal tumour cases provided by experts at the Royal National Orthopaedic Hospital (RNOH) NHS Trust, Stanmore, Greater London, UK.

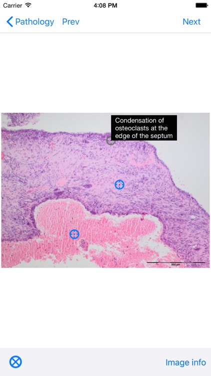
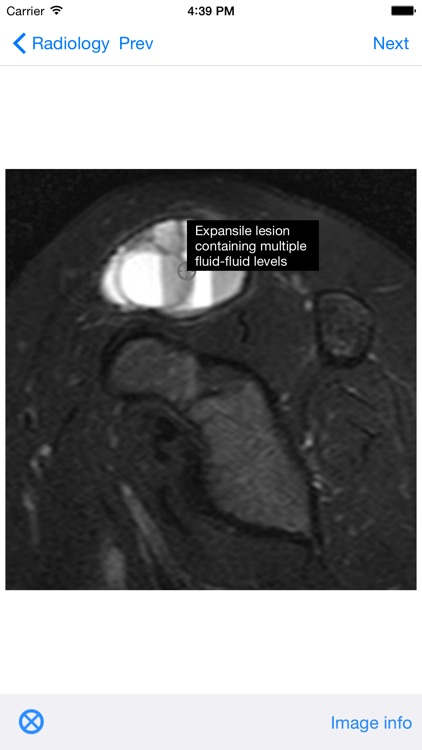
BoSTT brings the user a real experience of frequent and rare, typical and more unusual cases of bone and soft tissue tumours. Each case has a clinical history, high resolution radiology and pathology images, diagnosis, treatment and learning points.

The app is designed for healthcare professional working in the field of musculoskeletal healthcare, including radiologists, pathologists, orthopaedic surgeons, oncologists, nurse specialists and physiotherapists. It can also be used by medical students, trainees, residents and specialist fellows for continuing medical education.

The RNOH is the largest orthopaedic hospital in the UK and is regarded as a leader in the field of orthopaedics and sarcoma care both in the UK and worldwide.

This App was financed by RNOH's Innovation Fund with the support of the Pathological Society of Great Britain and Ireland.

Disclaimer:
AppAdvice does not own this application and only provides images and links contained in the iTunes Search API, to help our users find the best apps to download. If you are the developer of this app and would like your information removed, please send a request to takedown@appadvice.com and your information will be removed.