You are using an outdated browser. Please upgrade your browser to improve your experience.
AcetabularAnteversionApp

Acetabular version refers to the anteroposterior orientation of the acetabular opening relative to the true horizontal axis of the pelvis

Acetabular version refers to the anteroposterior orientation of the acetabular opening relative to the true horizontal axis of the pelvis

AcetabularAnteversionApp

by ORTHOPRACTIS.COM SINGLE MEMBER P.C.
AcetabularAnteversionApp
AcetabularAnteversionApp

What is it about?

Acetabular version refers to the anteroposterior orientation of the acetabular opening relative to the true horizontal axis of the pelvis. The normal human acetabulum is anteverted in order to allow impingement free range of motion including flexion, adduction, and internal rotation. Abnormal acetabular version has been correlated with pathologic hip conditions including femoroacetabular impingement (FAI) and developmental hip dysplasia.The association between acetabular version and hip pain has been well established in recent years as a source of contributing to early hip osteoarthrosis and labral tears. Recognition and appropriate treatment of abnormal acetabular version is crucial to preventing irreversible damage to the hip

App Details

Version
4.5
Rating
NA
Size
0Mb
Genre
Medical
Last updated
September 23, 2024
Release date
June 13, 2018
More info

App Screenshots

AcetabularAnteversionApp screenshot-0
AcetabularAnteversionApp screenshot-1
AcetabularAnteversionApp screenshot-2
AcetabularAnteversionApp screenshot-3
AcetabularAnteversionApp screenshot-4
AcetabularAnteversionApp screenshot-5
AcetabularAnteversionApp screenshot-6

App Store Description

Acetabular version refers to the anteroposterior orientation of the acetabular opening relative to the true horizontal axis of the pelvis. The normal human acetabulum is anteverted in order to allow impingement free range of motion including flexion, adduction, and internal rotation. Abnormal acetabular version has been correlated with pathologic hip conditions including femoroacetabular impingement (FAI) and developmental hip dysplasia.The association between acetabular version and hip pain has been well established in recent years as a source of contributing to early hip osteoarthrosis and labral tears. Recognition and appropriate treatment of abnormal acetabular version is crucial to preventing irreversible damage to the hip
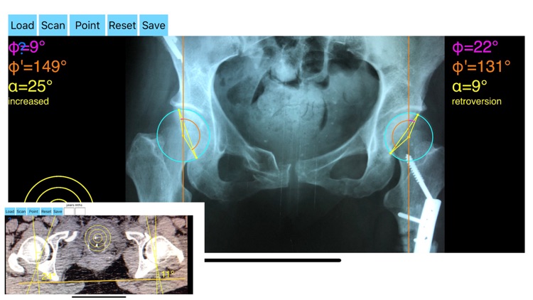
Acetabular version is conventionally evaluated on CT scans but excessive radiation doses associated with routine use of computed tomography (CT). An objective radiographic tool which provides measurements comparable in accuracy to CT measurements has been developed by Dr. Hefti (Nomogram).Tedious and time-consuming calculation has to be done in simple X-rays in order to calculate the acetabular anteversion. The primary goal of this App is to help determine radiographic values of acetabular anteversion in a practice in a blink of an eye and avoiding CT scans.
The App is medical software aimed for orthopaedic surgeons, providing tools that allow doctors to:
-Securely import medical images directly from the camera or stored photos.
-By marking certain points in a simple standard AP pelvic radiograph, geometric parameters are being calculated. The App computes the acetabular anteversion based on a pelvic AP radiograph. The angle of anteversion is calculated through the formula according to Heftis nomogram. The acetabular orientation (anteversion/retroversion) is determine by the app by the measurement of the angles between the center of the femoral head and the anterior (φ) and posterior (φ’) acetabular rim.
Once you choose correctly the anterior and posterior acetabular rims the app calculates the acetabular anteversion based on nomogram.
-The data are printed over to screen so each case can easily assessed
-Save the planned images, for later review or consultation.
All information received from the software output must be clinically reviewed regarding its plausibility before patient treatment! TheApp indicated for assisting healthcare professionals. Clinical judgment and experience are required to properly use the software.The software is not for primary image interpretation.
In a busy everyday practice, the examiner have to draw lines in X-rays or in clinical settings, this it is time consuming and cumbersome. Accessory instruments like protractors, hinged goniometers, well sharped pencils, calculators, rulers or even transparent papers must be available. The build in feature of the app, allows to calculate easily the version angle easily and help decide what could be considered normal or pathologic. This App is particular useful in clinical settings where you need a quick results without losing time. Please see tutorial videos at the developer’s web site https://www.orthopractis.com/acetabular-anteversion-app

Reference
Friz Hefti, Pediatric Orthopaedics in Practice, Chapter5 , Pelvis hips and thighs 5.3.2.1 Biomechanics of the hip-Book. Springer

Disclaimer:
AppAdvice does not own this application and only provides images and links contained in the iTunes Search API, to help our users find the best apps to download. If you are the developer of this app and would like your information removed, please send a request to takedown@appadvice.com and your information will be removed.